What Is a Gum Infection?
Dental health management plays a key role in one’s general health condition. Gum infections constitute one of the greatest dental problems Australians experience, and when untreated, can seriously harm oral health enough to lead to tooth loss.
According to the Australian Institute of Health and Welfare (AIHW), in 2017–18, approximately 30% of adults aged 15 years and over had moderate or severe periodontitis, an increase from around 23% in 2004–06. Additionally, adults who typically visited the dentist for dental problems reported a higher incidence of gum disease (18%) than those who got regular check-ups (8.7%).
The condition known as periodontal disease includes gingivitis, which causes mild inflammation and progresses toward periodontitis, leading to permanent damage to gums and root structures. Learning about disease origins, detection indicators, preventive methods, and treatment choices enables effective protection of gum health. The complete guide details the key information about gum infections through certified dentists’ insights
Understanding Gum Infections: What Are They?
The presence of harmful bacteria beneath the gums results in tissue infection, which then causes inflammation, swelling and pain. Proper gum care treatment can reverse gingivitis at its first stage; however, periodontitis advancement results in damages that encompass gum recession, bone loss and tooth mobility.
Most dental research indicates that gum disease remains one of the primary reasons adults in Australia must lose their teeth, since medical studies demonstrate the condition affects more than thirty percent of the population. This condition poses dental complications and medical evidence shows associations with heart disease, diabetes and respiratory conditions.
Causes of Gum Infections: Why Do They Happen?
Several elements like inadequate oral care, personal behaviors and pre-existing medical problems combine to form gum infections. The main sources responsible for gum infections include the following.
Poor Oral Hygiene
Plaque, as a sticky bacterial film, becomes thicker because people refrain from brushing and flossing their teeth. Plaque develops into tartar that creates both irritation and infection of gum tissue.
Smoking and Tobacco Use
Smoking functions as one of the main contributing elements that cause gum disease. Blood circulation to gums decreases due to smoking, thus tissue healing becomes more challenging. The use of tobacco leads to an increased probability that the consumer will experience gum recession, together with tooth loss.
A Diet High in Sugar and Processed Foods
Food choices containing sugar together with refined carbohydrates and acidic substances promote damaging bacterial growth, which results in mouth infection. The consumption of nutritious food provides better protection for gum tissues by reducing inflammation.
Diabetes and Other Health Conditions
The bacteria-fighting ability of diabetes patients suffers from elevated blood sugar levels, which leads them to face increased risks of gum infections. Heart disease and immune disorders, together with other conditions, enhance the risk of infection.
Hormonal Changes
Gender-dependent hormone fluctuations during pregnancy and puberty, along with the menopause and menstruation phases, boost gum sensitivity to bacterial infection. The majority of expectant mothers develop “pregnancy gingivitis”, which leads to a mild gum infection that needs specific attention.
Stress and Weak Immune System
The prolonged effect of stress on the body creates conditions that reduce immunity, thus decreasing the body’s resistance to infections. High stress frequently causes people to maintain improper oral care practices that result in worsened gum health.
Genetics and Family History
Genetics determines some cases of periodontal disease, so certain individuals develop gum infections even when they practice proper oral hygiene. People who have a family history of gum disease should visit their dentist regularly for inspection.
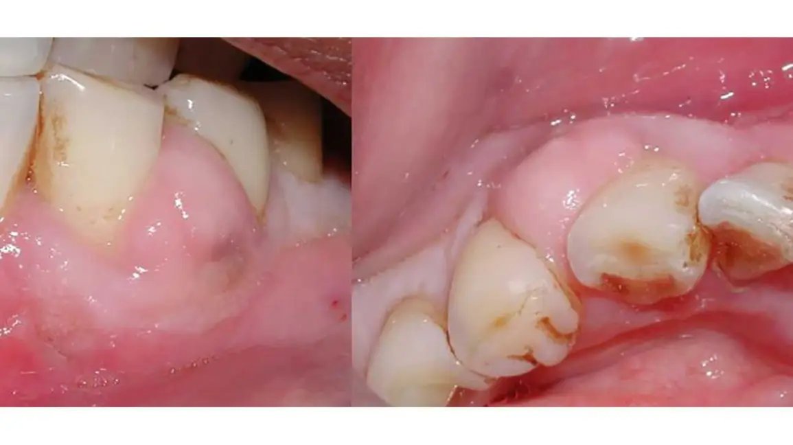
Symptoms of Gum Infections: How to Identify the Problem
The identification of gum infections during their early stages helps to stop the progression of severe dental damage. Here are the warning signs:
- The affected gums display a swollen appearance together with redness and tenderness.
- Bleeding gums occur during tooth brushing and flossing, which indicates an infection inside your gums.
- The presence of foul breath, known as Halitosis, usually results from bacteria inhabiting diseased gums.
- Receding gums are a sign of periodontitis since they move away from the teeth.
- Advanced gum infections make the structures that anchor teeth as strong because they cause teeth to become mobile and lose their proper position.
- Recognition of pus or abscesses between teeth and gums requires instant medical intervention due to their clear infection symptoms.
Stages of Gum Infection: From Mild to Severe
The progression of gum infections occurs through distinct phases, which need increasingly advanced treatment procedures.

1. Gingivitis (Early Stage – Reversible)
- Problem: People with early gum infection experience mild swelling combined with bleeding, which appears while brushing their teeth and occasional bad breath.
- Solution: The combination of better oral care practices along with expert dental cleanings and antibacterial wash use offers an effective treatment for gingivitis.
2. Mild Periodontitis
- Problem: Patients experience prominent gum recession together with increased bleeding frequency in addition to chronic bad breath.
- Solution: Deep cleaning (scaling and root planing) must be done because it removes the bacteria and tartar that exist beneath the gum line.
3. Moderate to Severe Periodontitis
- Problem: Deep pockets along with bone loss develop between the teeth and gums, which leads to teeth becoming loose.
- Solution: The necessary treatment includes gum grafting alongside flap surgery and laser therapy.
Best Treatment Options for Gum Infections in Australia
The necessary treatment matches the degree of gum infection severity. These are the most successful treatment solutions that Australians can access for their conditions.
1. Professional Dental Cleaning (Scaling and Root Planing)
People suffering from gum infections undergo deep cleaning procedures with their dentists to eliminate plaque and tartar from their gum pockets, thus blocking new infections.
2. Antibiotics and Medications
Antibacterial mouthwash with chlorhexidine, along with other gels, helps destroy bacterial cells.
Careful pharmacists prescribing Oral antibiotics serve as the preferred treatment for major bacterial infections.
3. Advanced Surgical Treatments
- Medical practitioners use Flap Surgery by raising gum tissue to access deep infections through cleaning procedures.
- Gum Grafting involves surgical treatment to recover gum tissue that has been lost because of tissue recession.
- Laser Therapy enables dentists to eliminate infected tissue through modern, painless procedures.
4. Home Remedies for Mild Cases
- Regular use of saltwater solution provides two benefits, which include swelling reduction and bacterial destruction.
- Dental practitioners recommend Coconut Oil pulling as a method to extract bacteria from the mouth cavity.
- Aloe Vera Gel is known for its natural anti-inflammatory properties.
How to Prevent Gum Infections?
The prevention of gum infections proves less expensive than treating established infections. The combination of proper dental hygiene practice with a wholesome lifestyle, together with routine dental examinations, maintains your gums’ well-being and prevents infections. The following steps will help you defend your gum tissues:
Brush Twice Daily
Fluoride toothpaste needs to be applied a minimum of two times daily to efficiently remove dental plaque and bacteria. Make sure to:
- A toothbrush with soft bristles should be used since it protects your gums from damage.
- You need to brush for at least two minutes to achieve effective gum surface cleaning.
- You should focus additional brushing time on the gum line region, which accumulates plaque.
Floss Every Day
Brushing by itself does not effectively eliminate the food debris and plaque between your teeth. Daily flossing helps:
- The prevention of plaque accumulation leads to decreased risks of gum infections.
- The brush cannot access certain parts of your mouth that need cleaning.
- Your gum bleeding, together with inflammation, will decrease when you maintain proper gum line cleansing.
People who find traditional flossing difficult should choose interdental brushes or water flossers because these tools offer better effectiveness, together with easier operation.
A Healthy Nutritional Plan
The food choices you make significantly determine the health condition of your gums. To keep your gums healthy:
- Consuming dairy items, leafy vegetables, and almonds serves to build bones and teeth.
- Keep away from food items with high sugar content, along with manufactured foods, since both types breed plaque throughout your mouth.
Why Are Dentists Needed To Protect Gums?
Regular oral hygiene care provides insufficient protection to the gums. You require professional examinations for better gum health. Your dentist appointments every six months provide the following advantages:
- Dentists identify gum infections during their early stages when the condition has not progressed severely.
- Dental professionals conduct cleanings to get rid of stubborn plaque deposits that prove impossible for standard oral hygiene tools.
EVE Dental Centre Experience With Gum-Infected Patients
Over the years, EVE Dental Centre, located at 10/2-10 William Thwaites Blvd, Cranbourne North VIC 3977, has successfully treated thousands of gum-infected patients—each arriving with unique symptoms, concerns, and attitudes. From early-stage gingivitis to advanced periodontitis, patients presented with bleeding gums, swollen tissue, bad breath, and even tooth mobility. Some arrived anxious, others in denial, and a few had already tried home remedies with little success.
Our dentists always begin with detailed diagnostics, explaining each condition in easy-to-understand terms, ensuring patients feel informed and empowered. Many are surprised to learn how gum infections can impact their overall health. We’ve seen transformations—from patients who were initially terrified of the dentist, to ones who now never miss a check-up.
The team at EVE Dental Centre tailors treatments such as deep cleaning (scaling and root planing), medicated rinses, and surgical interventions, depending on severity. Patient behavior has evolved as awareness grows—more people now understand the importance of routine care. But what remains constant is our commitment to treating every case with empathy, precision, and transparency.
Whether it’s a mild case or severe infection, our goal is simple: healthier gums and happier smiles.
Conclusion: Take Action for a Healthier Gum
Gum diseases exist among 11%-20% population. You should learn to prevent them. Early action toward gum disease treatment will both protect your teeth and better your overall health, regardless of your condition, from gingivitis to periodontitis.
When home remedies do not work effectively, you must visit your dentist or local dental clinic to get the suitable treatment.