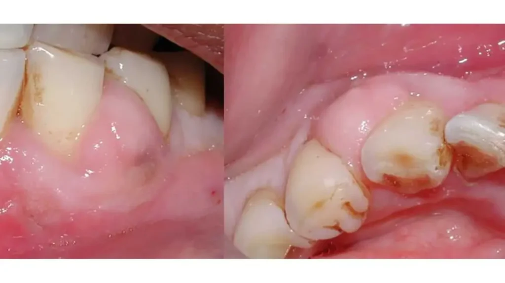
How To Keep Cavity From Getting Worse?

Proven Ways to Prevent Cavities from Worsening and Maintain Optimal Oral Health with Effective Dental Care Strategies Oral hygiene is necessary to ensure that the mouth is healthy against cavities. It is a disease that strikes many people, young and old. Cavities will cause pain if left untreated, cause gum infections, and may lead to […]
What is Considered a Dental Emergency?

Urgent Dental Care: What Qualifies As A Dental Emergency? Nothing can match the discomfort of suddenly realising that your mouth is not doing what it should be doing. Realisation of dental emergencies is important so that one knows how to care for the mouth and, most importantly, prevent very serious future problems. Typical sort of […]
Is It OK to Eat After Brushing Teeth

Is It Okay to Eat After Brushing Your Teeth? How Long Should You Wait? Oral health is important, and among the ways to practice good oral hygiene is by brushing teeth. A large percentage of individuals brush their teeth in the morning, but is it OK to eat after brushing teeth? Later in the day, […]
How Much Does Dental Check Up and Clean Cost?

Dental Check Up and Clean Cost A simple dental checkup and cleanup is an essential element in the management of oral hygiene. This ensures that dental problems can be attended to before they worsen and become very expensive conditions. It’s a small investment for your dental health. Do you know, “How Much Does a Dental […]
Thumbsucking and Pacifier Use
Thumbsucking and Pacifier Use: What Every Parent Should Know Thumbsucking and pacifier use are common habits among infants and toddlers, providing comfort and security. While these behaviors are natural, prolonged use can impact dental development and oral health. Understanding the benefits, potential effects, and best ways to break the habit can help parents make informed […]
Gum Infections – Causes, Symptoms, and Best Treatment Options

What Is a Gum Infection? Dental health management plays a key role in one’s general health condition. Gum infections constitute one of the greatest dental problems Australians experience, and when untreated, can seriously harm oral health enough to lead to tooth loss. According to the Australian Institute of Health and Welfare (AIHW), in 2017–18, approximately […]
Tips for Oral Hygiene

Tips for Oral Hygiene: A Guide to a Healthier Smile Oral hygiene is more than just brushing your teeth. It involves a combination of daily habits, proper technique, and regular dental visits. From choosing the right toothbrush and toothpaste to flossing and avoiding sugary foods, small daily actions can make a big difference. This (Tips […]
How to Get a Perfect Smile?

Find the Secrets Behind a Confident Smile with These Proven Cosmetic Dental Solutions Smiling relaxes the facial muscles and calms the nervous system. A perfect smile not only reflects your joyful emotions but also improves your appearance and boosts self-confidence. If you’ve ever wondered how to get a perfect smile, the answer lies in the […]
10 Unexpected Benefits of Dental Implants

Benefits of Teeth Implants: A Complete Solution for Restoring Oral Health and Confidence The benefits of dental implants extend beyond just replacing missing teeth; they are also essential for your overall health and wellness, including the health of your remaining teeth. Replacing natural teeth not only restores functionality but also prevents a variety of other […]
Why Does My Tooth Hurt?

Why Does My Tooth Hurt? Find the Real Cause Why Does My Tooth Hurt? Many factors can cause tooth pain; finding home remedies and understanding them is key to proper tooth care. One of the main reasons your tooth might hurt is related to the types of foods you eat, which can lead to tooth sensitivity and […]